Hotline - Zalo
0589533456Hotline - Zalo
0589533456Nhiều người chỉ quan tâm đến việc lấy cao răng khi răng bắt đầu đau nhức, chảy máu hay có mùi hôi khó chịu. Thế nhưng, đây có phải là thời điểm lý tưởng? Câu hỏi nên lấy cao răng khi nào đang được rất nhiều người quan tâm nhằm bảo vệ răng miệng một cách khoa học và hiệu quả. Cùng tìm hiểu để tránh những sai lầm phổ biến trong chăm sóc răng miệng nhé.

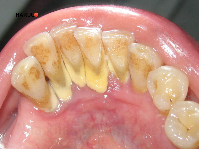
Khi cao răng bắt đầu bong tróc hoặc có cảm giác sần sùi quanh thân răng, đó là dấu hiệu cho thấy vôi răng đã tích tụ với số lượng khá nhiều. Lúc này, bạn nên sớm đến nha khoa để lấy cao răng, nhằm hạn chế nguy cơ viêm lợi, sâu răng hay các bệnh lý răng miệng khác. Bên cạnh đó, duy trì thói quen lấy cao răng định kỳ cũng đóng vai trò rất quan trọng trong việc bảo vệ sức khỏe răng lâu dài.
Thực tế, rất khó xác định chính xác thời điểm mỗi người cần lấy cao răng, bởi mức độ hình thành cao răng còn phụ thuộc vào nhiều yếu tố như: thói quen vệ sinh răng miệng, chế độ ăn uống, tính chất nước bọt và cơ địa của từng người. Theo khuyến cáo, đa số mọi người nên lấy cao răng khoảng 6 tháng/lần. Với những trường hợp cao răng hình thành nhanh hoặc tích tụ nhiều, có thể rút ngắn thời gian xuống khoảng 3–4 tháng/lần.
Trì hoãn lấy cao răng khiến các mảng vôi ngày càng dày, cứng và bám chặt hơn vào bề mặt răng cũng như viền nướu. Khi đó, quá trình làm sạch sẽ mất nhiều thời gian hơn, thao tác phức tạp hơn và nguy cơ gây tổn thương nướu cũng cao hơn. Thậm chí, sau khi lấy cao răng, bạn có thể phải điều trị thêm viêm nướu, dẫn đến tốn kém chi phí và thời gian.
Nhiều người băn khoăn liệu có thể tự lấy cao răng được không. Trên thực tế, các phương pháp như dùng chanh, baking soda, muối hoặc máy lấy cao răng tại nhà chỉ có tác dụng làm sạch mảng bám mềm mới hình thành.
– Người có nhiều mảng bám, cao răng tích tụ dày trên bề mặt răng hoặc nằm sâu dưới nướu.
– Người đang gặp các vấn đề về răng nướu như viêm nướu, viêm nha chu do cao răng gây ra.
– Phụ nữ mang thai cần chú trọng chăm sóc răng miệng để hạn chế nguy cơ viêm nhiễm và các biến chứng trong thai kỳ (nên tham khảo ý kiến nha sĩ trước khi thực hiện).
– Người chuẩn bị thực hiện các thủ thuật nha khoa như trám răng, nhổ răng, bọc răng sứ hoặc tẩy trắng răng.
– Bệnh nhân cần vệ sinh khoang miệng sạch sẽ trước khi phẫu thuật hoặc xạ trị.
– Người có thói quen hút thuốc lá, thường xuyên sử dụng cà phê, trà, đồ ngọt hoặc thực phẩm dễ hình thành mảng bám.

– Người đang bị viêm nha chu cấp tính hoặc viêm nướu hoại tử nặng.
– Bệnh nhân đau miệng nhiều, viêm nhiễm nặng hoặc gặp khó khăn khi há miệng.
– Người đang mắc các bệnh lý đường hô hấp trên hoặc không thể thở bằng mũi.
– Người bị tiểu đường nặng kèm biến chứng nghiêm trọng ở nướu răng.
– Người mắc bệnh rối loạn đông máu hoặc các bệnh truyền nhiễm có nguy cơ lây qua nước bọt.
– Người bị rối loạn thần kinh, động kinh, không kiểm soát được hành vi trong quá trình điều trị.
– Phụ nữ mang thai ở một số giai đoạn nhạy cảm cần tham khảo ý kiến bác sĩ trước khi tiến hành lấy cao răng.
Việc lấy cao răng quá thường xuyên hoặc được thực hiện không đúng kỹ thuật có thể làm ảnh hưởng đến men răng và mô nướu. Khi tác động lực mạnh, sai vị trí hoặc sử dụng thiết bị không phù hợp, bề mặt men răng có nguy cơ bị mài mòn, nướu dễ tổn thương và trở nên nhạy cảm hơn.
Chính vì vậy, lấy cao răng cần được thực hiện đúng thời điểm, đúng cách và tốt nhất là theo chỉ định, tư vấn của nha sĩ. Duy trì lịch lấy cao răng định kỳ (thường 3–6 tháng/lần tùy tình trạng răng miệng) không chỉ giúp làm sạch hiệu quả mà còn đảm bảo an toàn cho men răng và sức khỏe nướu lâu dài.
>> Có thể bạn bỏ lỡ: Trả lời câu hỏi: Bị viêm lợi có nên lấy cao răng không?
– Trường hợp nha sĩ chỉ định điều trị viêm nướu sau khi lấy cao răng, bạn nên thực hiện đầy đủ liệu trình (thường 4–5 buổi chấm thuốc). Điều này giúp nướu nhanh lành, bám chắc vào chân răng và hạn chế mảng bám xâm nhập xuống viền nướu.
– Sau khi lấy cao răng khoảng 45–60 phút, bạn có thể ăn uống bình thường. Tuy nhiên, nên tránh thực phẩm quá nóng hoặc quá lạnh cho đến khi nướu hồi phục hoàn toàn.
– Trà, cà phê, thuốc lá là những tác nhân khiến răng nhanh xỉn màu và dễ hình thành cao răng. Việc hạn chế sử dụng sẽ giúp duy trì màu răng sáng lâu hơn.
– Thực phẩm chứa nhiều đường tạo điều kiện cho vi khuẩn phát triển, làm tăng nguy cơ hình thành mảng bám và cao răng.
– Đánh răng ít nhất 2 lần mỗi ngày, kết hợp sử dụng máy tăm nước để làm sạch kẽ răng và viền nướu hiệu quả hơn.
– Nước súc miệng diệt khuẩn và kem đánh răng chứa fluoride giúp giảm mảng bám, bảo vệ men răng và ngăn ngừa các bệnh lý răng miệng.
– Tránh dùng vật sắc nhọn hoặc dụng cụ không chuyên để cạo cao răng vì có thể gây chảy máu, tổn thương nướu và khoang miệng.

Hiểu rõ nên lấy cao răng khi nào sẽ giúp bạn chủ động hơn trong việc bảo vệ sức khỏe răng miệng. Haruco khuyên bạn nên kết hợp lấy cao răng định kỳ cùng thói quen vệ sinh răng miệng khoa học mỗi ngày để duy trì hàm răng chắc khỏe và nụ cười tự tin lâu dài.