Hotline - Zalo
0358 427 596Hotline - Zalo
0358 427 596Chảy máu chân răng, lợi sưng đau là những dấu hiệu thường gặp của viêm lợi khiến nhiều người lo lắng mỗi khi vệ sinh răng miệng. Đặc biệt, không ít người đặt ra câu hỏi bị viêm lợi có nên lấy cao răng không, hay việc cạo vôi răng lúc này sẽ khiến tình trạng trở nên nghiêm trọng hơn. Để giải đáp băn khoăn này, hãy cùng tìm hiểu vai trò của cao răng và cách xử lý phù hợp khi nướu đang bị viêm.

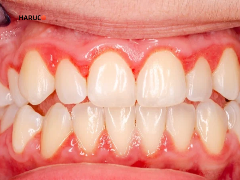
Viêm lợi là tình trạng nướu răng bị viêm do vi khuẩn tích tụ lâu ngày trong khoang miệng, chủ yếu xuất phát từ mảng bám và cao răng. Nếu không được can thiệp sớm, tình trạng viêm lợi có thể ngày càng nghiêm trọng hơn, dẫn đến viêm nha chu bệnh lý nguy hiểm ảnh hưởng trực tiếp đến mô nâng đỡ răng. Người mắc viêm lợi thường gặp các dấu hiệu như hơi thở có mùi, nướu sưng đỏ hoặc chuyển sang màu đỏ sẫm, dễ chảy máu khi đánh răng hay dùng chỉ nha khoa, thậm chí có hiện tượng tụt lợi gây ê buốt răng.
Viêm lợi thường bắt nguồn từ việc vệ sinh răng miệng chưa đúng cách, khiến vi khuẩn có điều kiện tích tụ và phát triển trong khoang miệng. Khi không được làm sạch thường xuyên, các mảng bám sẽ hình thành trên bề mặt răng và dần gây viêm các mô quanh nướu. Cụ thể, một số yếu tố chính dẫn đến viêm lợi gồm:
– Mảng bám hình thành trên răng: Mảng bám là lớp màng dính không nhìn thấy bằng mắt thường, được tạo ra khi tinh bột và đường trong thức ăn kết hợp với vi khuẩn trong miệng. Nếu không được loại bỏ kịp thời, mảng bám sẽ bám chặt vào răng và nướu.
– Mảng bám vôi hóa thành cao răng: Khi mảng bám tồn tại lâu ngày, chúng sẽ bị khoáng hóa và cứng lại, hình thành cao răng bám dưới đường viền nướu. Cao răng rất khó làm sạch bằng cách chải răng thông thường và trở thành nơi trú ngụ lý tưởng của vi khuẩn.
– Nướu bị kích ứng và viêm: Cao răng tích tụ càng nhiều và tồn tại càng lâu sẽ càng gây kích ứng mô nướu, khiến nướu sưng đỏ, dễ chảy máu và hình thành ổ viêm. Ngoài ra, tình trạng sâu răng kéo dài cũng có thể là yếu tố góp phần làm tăng nguy cơ viêm lợi.

Nướu khỏe mạnh thường có màu hồng nhạt, săn chắc, ôm sát chân răng và giúp răng đứng vững trên cung hàm. Tuy nhiên, khi nướu thường xuyên tiếp xúc với mảng bám và cao răng chứa nhiều vi khuẩn, vùng nướu sẽ dần bị kích ứng và viêm nhiễm. Lúc này, nướu có thể sưng đỏ, dễ chảy máu khi chải răng, thậm chí tụt lợi làm lộ chân răng nếu không được xử lý kịp thời.
Vậy bị viêm lợi có nên lấy cao răng không? Câu trả lời là CÓ. Nguyên nhân cốt lõi gây viêm lợi chính là vi khuẩn tồn tại trong mảng bám và cao răng. Do đó, muốn điều trị viêm lợi hiệu quả, trước tiên cần loại bỏ tác nhân gây bệnh bằng cách lấy cao răng và làm sạch vùng nướu.
Trên thực tế, lấy cao răng là chỉ định bắt buộc của bác sĩ nha khoa trong quá trình điều trị viêm lợi. Việc này giúp làm sạch mảng bám trên bề mặt răng, chân răng và cả vùng dưới nướu không thể tiếp cận. Nhờ đó, lượng vi khuẩn gây hại được loại bỏ đáng kể, tạo điều kiện để nướu hồi phục và khỏe mạnh trở lại.
Trong những trường hợp viêm lợi nặng, bác sĩ có thể kết hợp thêm các biện pháp điều trị chuyên sâu như dùng thuốc kháng sinh, thuốc kháng viêm hoặc can thiệp nha khoa phù hợp. Tuy nhiên, lấy cao răng vẫn là bước nền tảng quan trọng giúp kiểm soát viêm nhiễm và ngăn ngừa bệnh tiến triển nặng hơn.
Viêm lợi nếu không được điều trị đúng cách, đặc biệt là không lấy cao răng để loại bỏ nguyên nhân gây bệnh, có thể tiến triển nghiêm trọng và dẫn đến nhiều biến chứng nguy hiểm cho cả răng miệng lẫn sức khỏe toàn thân. Cụ thể:
– Nguy cơ mất răng: Vi khuẩn gây viêm lợi có thể lan sâu xuống mô nướu và tấn công các tổ chức nha chu nâng đỡ răng như mô mềm, xương ổ răng và dây chằng nha chu. Khi các cấu trúc này bị phá hủy, răng sẽ trở nên lung lay và có nguy cơ rụng sớm.
– Ảnh hưởng đến sức khỏe toàn thân: Tình trạng viêm nhiễm kéo dài ở nha chu có thể làm gia tăng nguy cơ mắc các bệnh lý tim mạch như suy tim, đột quỵ do vi khuẩn xâm nhập vào máu và gây phản ứng viêm toàn cơ thể.
– Tăng nguy cơ bệnh lý hô hấp: Với những trường hợp viêm lợi nặng, vi khuẩn trong khoang miệng có thể bị hít vào phổi, làm tăng khả năng mắc các bệnh viêm đường hô hấp, đặc biệt là viêm phổi.
– Nguy hiểm đối với phụ nữ mang thai: Phụ nữ mang thai bị viêm lợi hoặc viêm nha chu có nguy cơ sinh non, trẻ sinh ra nhẹ cân cao hơn so với bình thường, ảnh hưởng trực tiếp đến sức khỏe của cả mẹ và bé.

>> Có thể bạn bỏ lỡ: Quá trình thực hiện lấy cao răng có lâu không?
– Chải răng đúng cách mỗi ngày: Đánh răng ít nhất 2 lần/ngày vào buổi sáng và tối, hoặc sau các bữa ăn chính để loại bỏ mảng bám và vi khuẩn trong khoang miệng.
– Kết hợp súc miệng kháng khuẩn: Sử dụng nước súc miệng chuyên dụng hoặc nước muối sinh lý giúp làm sạch khoang miệng, hạn chế sự phát triển của vi khuẩn gây viêm lợi.
– Khám răng miệng và lấy cao răng định kỳ: Nên thăm khám nha khoa và lấy cao răng khoảng 6 tháng/lần, hoặc sớm hơn nếu nhận thấy mảng bám xuất hiện nhiều trên răng.
– Dùng chỉ nha khoa thay cho tăm: Chỉ nha khoa giúp làm sạch thức ăn mắc kẹt trong kẽ răng hiệu quả mà không gây tổn thương nướu hay làm thưa răng như khi dùng tăm tre.
– Xây dựng chế độ sinh hoạt lành mạnh: Hạn chế hút thuốc lá, đồ ăn nhiều đường và các thực phẩm gây hại cho men răng để bảo vệ nướu và răng luôn khỏe mạnh.
Tóm lại, qua bài viết bạn đã trả lời đc câu hỏi bị viêm lợi có nên lấy cao răng không và nhưng cần thực hiện đúng cách và đúng thời điểm loại bỏ cao răng giúp giảm vi khuẩn gây viêm, hỗ trợ nướu phục hồi và hạn chế các biến chứng răng miệng về sau. Bên cạnh việc thăm khám nha khoa định kỳ, bạn cũng có thể tham khảo máy lấy cao răng tại nhà của Haruco để hỗ trợ làm sạch mảng bám nhẹ, giúp chăm sóc răng miệng chủ động và tiện lợi hơn mỗi ngày.