Hotline - Zalo
0358 427 596Hotline - Zalo
0358 427 596Lấy cao răng là bước quan trọng trong chăm sóc răng miệng định kỳ, giúp ngăn ngừa viêm nướu, hôi miệng và các bệnh lý nha khoa. Tuy nhiên, nhiều người e ngại không biết quá trình thực hiện lấy cao răng có lâu không, liệu có tốn nhiều thời gian hay gây bất tiện? Nếu bạn đang cần một góc nhìn rõ ràng và dễ hiểu về thời gian thực hiện, bài viết này sẽ giúp bạn giải đáp chi tiết.

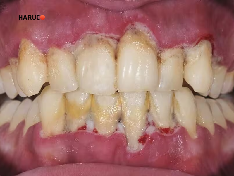
Trước khi giải đáp lấy cao răng có lâu không, bạn cần hiểu rõ cao răng là gì. Cao răng là những mảng bám đã cứng lại theo thời gian, bám dày ở viền nướu với màu trắng đục hoặc vàng nhạt. Thành phần của chúng chủ yếu là muối khoáng như cacbonat, phosphate cùng với vi khuẩn tích tụ lâu ngày.
Đáng chú ý, cao răng còn chứa sắt từ huyết thanh, tạo điều kiện lý tưởng cho vi khuẩn phát triển và gây ra nhiều vấn đề răng miệng, bao gồm:
– Viêm nướu: Vi khuẩn trú trong cao răng kích thích nướu sưng đỏ, chảy máu. Nếu không điều trị, nướu sẽ tụt dần, đây là giai đoạn đầu của bệnh nha chu.
– Viêm nha chu: Cao răng tồn tại lâu ngày khiến vi khuẩn tấn công sâu hơn vào xương ổ răng và dây chằng nha chu. Khi nha chu bị tổn thương nặng, răng dễ lung lay và nguy cơ mất răng rất cao.
– Các bệnh về niêm mạc miệng: Cao răng cũng có thể làm nặng thêm tình trạng lở miệng, viêm niêm mạc, khiến quá trình hồi phục kéo dài hơn.
Thông thường, một lần lấy cao răng sẽ mất khoảng 30 phút đến 1 giờ, tùy vào mức độ tích tụ cao răng, tình trạng viêm nướu và khả năng hợp tác của từng người. Ở những trường hợp cao răng cứng, bám sâu dưới nướu hoặc có viêm nha chu, thời gian thực hiện có thể lâu hơn.
Trong quá trình lấy cao răng, nha sĩ sẽ dùng máy siêu âm chuyên dụng để làm rung và tách các mảng bám cứng khỏi bề mặt răng. Sau đó, bác sĩ thường kết hợp đánh bóng răng để hạn chế mảng bám bám trở lại. Đây là quy trình an toàn, không xâm lấn và không làm tổn hại men răng.
Nếu bạn gặp cảm giác ê buốt khi làm sạch, hãy báo ngay cho bác sĩ để được giảm lực rung, thay đổi đầu tip hoặc áp dụng các biện pháp hỗ trợ giúp giảm khó chịu.
Theo khuyến cáo của chuyên gia, bạn nên lấy cao răng định kỳ mỗi 3–6 tháng tùy vào tình trạng răng miệng và thói quen ăn uống, vệ sinh răng. Khoảng thời gian này giúp kiểm soát mảng bám kịp thời, ngăn cao răng cứng lại và hạn chế nguy cơ viêm nướu, hơi thở có mùi hay các bệnh lý nha chu.
Bên cạnh đó, việc tái khám định kỳ còn giúp nha sĩ phát hiện sớm những dấu hiệu bất thường trong khoang miệng để xử lý kịp thời, tránh để cao răng tích tụ thành lớp dày gây tổn thương nướu và men răng.
Hiện nay, đa số phòng khám nha khoa sử dụng máy lấy cao răng siêu âm, công nghệ làm sạch bằng rung tần số cao giúp loại bỏ mảng bám, ố vàng và bụi bẩn một cách nhẹ nhàng, gần như không gây đau. Tuy nhiên, tùy từng trường hợp, bác sĩ có thể kết hợp thêm các phương pháp hỗ trợ để quá trình làm sạch hiệu quả hơn.
Để giữ răng miệng luôn khỏe mạnh, bạn nên duy trì vệ sinh răng miệng đúng cách, dùng chỉ nha khoa hằng ngày và tuân thủ lịch lấy cao răng theo hướng dẫn của nha sĩ. Việc này không chỉ giúp phòng ngừa mảng bám mà còn giảm nguy cơ các bệnh lý răng miệng về lâu dài.

>> Có thể bạn bỏ lỡ: Hướng dẫn lấy cao răng tại nhà bạn nên biết
Sau khi lấy cao răng, hầu hết mọi người sẽ cảm thấy răng hơi ê buốt, nhạy cảm hoặc khó chịu nhẹ trong 1–3 ngày đầu. Nguyên nhân là vì lớp cao răng bám lâu ngày được loại bỏ, để lộ bề mặt chân răng và nướu vốn đang nhạy cảm hơn. Đây là phản ứng hoàn toàn bình thường và sẽ giảm dần khi răng nướu ổn định lại. Tuy nhiên, nếu tình trạng ê buốt kéo dài quá lâu hoặc cơn đau tăng lên bất thường, bạn nên liên hệ nha sĩ để được kiểm tra và xử lý kịp thời.
– Tránh thực phẩm và thức uống sẫm màu như cà phê, rượu vang, trà đậm, nước ngọt có màu trong vòng 24 giờ đầu. Sau khi làm sạch cao răng, men răng dễ bám màu hơn nên hạn chế các loại có nguy cơ gây xỉn răng.
– Hạn chế đồ ăn cứng, dai, giòn hoặc quá nóng. Những loại thực phẩm này có thể khiến nướu bị tổn thương thêm và làm tăng cảm giác ê buốt. Bạn nên ưu tiên cháo, súp, đồ mềm và ấm vừa phải.
– Uống nước mát hoặc hơi lạnh có thể giúp giảm cảm giác ê buốt tạm thời, tạo cảm giác dễ chịu hơn cho răng.
– Nếu khó chịu kéo dài, bạn có thể sử dụng thuốc giảm đau nhẹ theo hướng dẫn của nha sĩ để giảm cảm giác ê nhức.
– Duy trì vệ sinh răng miệng nhẹ nhàng: Dùng bàn chải lông mềm, chải nhẹ nhàng theo chuyển động tròn và kết hợp chỉ nha khoa để ngăn mảng bám mới hình thành. Tránh chải răng quá mạnh vì có thể làm tổn thương nướu đang nhạy cảm.

Theo khuyến cáo của chuyên gia, bạn nên lấy cao răng 2 lần/năm, tức là mỗi 6 tháng để duy trì răng nướu khỏe mạnh và ngăn mảng bám tích tụ. Với những người dễ hình thành cao răng như hút thuốc, uống cà phê nhiều, vệ sinh răng miệng chưa tốt hoặc có bệnh lý răng miệng, có thể cần lấy cao răng 3–4 tháng/lần.
Lấy cao răng là một thủ thuật đơn giản, được hỗ trợ bởi công nghệ siêu âm hiện đại nên hầu như không gây đau và không làm tổn thương men răng thật. Phần lớn khách hàng chỉ cảm thấy hơi tê hoặc rung nhẹ trong quá trình thực hiện và hoàn toàn yên tâm khi điều trị.
Thông thường, cảm giác ê buốt nhẹ sau khi lấy cao răng sẽ giảm dần trong vài giờ hoặc kéo dài tối đa 1–2 ngày. Nguyên nhân là do phần chân răng trước đây được mảng bám bao phủ, nay bị lộ ra nên trở nên nhạy cảm hơn với nhiệt độ và các tác động bên ngoài. Tuy nhiên, nếu tình trạng ê buốt kéo dài quá 3–4 ngày, cơn đau gia tăng hoặc xuất hiện hiện tượng sưng nướu, điều này có thể liên quan đến viêm nướu hoặc thao tác làm sạch quá mạnh. Khi đó, bạn nên đến nha khoa để được kiểm tra lại.
Trẻ em thường ít tích tụ cao răng như người lớn, tuy nhiên trong một số trường hợp bác sĩ vẫn có thể chỉ định lấy cao răng nếu phát hiện mảng bám đã vôi hóa, nướu sưng viêm hoặc dấu hiệu viêm lợi. Việc có nên lấy cao răng cho trẻ hay không phụ thuộc vào độ tuổi, mức độ cao răng và sức khỏe nướu. Vì vậy, phụ huynh nên cho trẻ thăm khám định kỳ để bác sĩ đánh giá và đưa ra hướng dẫn phù hợp, đảm bảo an toàn cho răng của trẻ.
Máy lấy cao răng là thiết bị hỗ trợ làm sạch mảng bám và cao răng tại nhà, phù hợp cho những người muốn chăm sóc răng miệng chủ động. Tuy nhiên, bạn chỉ nên sử dụng máy chất lượng, có cảm biến an toàn, tần số rung phù hợp và đầu lấy cao răng đạt chuẩn. Máy lấy cao răng có thể giúp loại bỏ mảng bám nhẹ, nhưng với cao răng cứng, dày hoặc nằm sâu dưới nướu thì vẫn cần đến nha sĩ để xử lý đúng kỹ thuật.
Tóm lại, thắc mắc quá trình thực hiện lấy cao răng có lâu không đã có lời giải: thời gian thực hiện khá nhanh và không gây ảnh hưởng đến sinh hoạt. Việc duy trì lấy cao răng định kỳ không chỉ giúp răng sạch khỏe mà còn phòng ngừa nhiều bệnh lý răng miệng nguy hiểm. Nếu bạn muốn tham khảo thêm về các dòng máy lấy cao răng an toàn, dễ dùng tại nhà, Haruco luôn sẵn sàng hỗ trợ và tư vấn sản phẩm phù hợp nhất.